News Arena

Home

Nation

States

International

Politics

Defence & Security

Opinion

Economy

Sports

Entertainment

Trending:

Home
/

world-s-most-powerful-mri-scanner-reveals-first-ever-images-of-human-brain

Technology

World's most powerful MRI scanner reveals first-ever images of Human brain

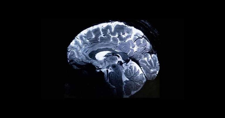
"With this machine, we can see the tiny vessels which feed the cerebral cortex, or details of the cerebellum which were almost invisible until now," explained Vignaud.

- Paris - UPDATED: April 3, 2024, 01:34 PM - 2 min read

thumbnail image


The world's most powerful MRI scanner has unveiled the first-ever images of the human brain, promising unprecedented insights into its complexities and associated afflictions.

 

Surprisingly, the journey to this milestone began with an unexpected subject a "winter squash"

 

The pioneering research, spearheaded by researchers at France's Atomic Energy Commission (CEA), initially involved creating scans of a pumpkin in 2021. Now, with the go-ahead from authorities, the MRI machine, located in the Plateau de Saclay area south of Paris, has advanced to imaging human brains.

 

Physicist Alexandre Vignaud, a key member of the research team, expressed his enthusiasm, stating, "We have seen a level of precision never reached before at CEA." Unlike conventional MRIs, which typically operate at around three teslas, this extraordinary MRI machine, affectionately nicknamed Iseult, boasts an impressive 11.7 teslas, resulting in images of the human brain with ten times more precision.

 

"With this machine, we can see the tiny vessels which feed the cerebral cortex, or details of the cerebellum which were almost invisible until now," explained Vignaud.

 

The MRI machine is housed within a cylindrical structure measuring five meters in both length and height and is powered by a massive 132-ton magnet. Its capabilities are further enhanced by a coil conducting a current of 1,500 amps. Despite its immense power, the machine features a three-foot opening to accommodate human subjects.

 

The groundbreaking design of the MRI scanner is the culmination of two decades of collaborative research between French and German engineers, as reported by AFP.

TOP CATEGORIES

  • Nation

QUICK LINKS

About us Rss FeedSitemapPrivacy PolicyTerms & Condition
logo

2026 News Arena India Pvt Ltd | All rights reserved | The Ideaz Factory